Our specialist team of mammographers and sonographers perform 3D mammograms with tomosynthesis, contrast enhanced mammography and comprehensive ultrasound assessment. These images are reviewed collaboratively with specialist breast radiologists.

3D Mammogram (Tomosynthesis)
Mammograms use relatively low-dose x-rays to produce two-dimensional images by compressing the breast between two plates. Compression reduces the amount of radiation needed to penetrate the tissue, and also spreads out the breast tissue to help produce clearer images. Compression also reduces motion, which can blur the image and cause abnormalities to be missed.
Tomosynthesis is a three-dimensional form of mammogram. The images are digitally reconstructed as multiple thin slices that can be individually ‘scrolled through’ to reduce tissue overlap, like flipping through pages of a book. Studies have demonstrated that tomosynthesis improves the detection of early breast cancers and decreases the rate of recalls for false positives. Tomosynthesis is performed at Sydney Breast Clinic.
A specialist breast radiologist interprets the images, and in consultation with a breast clinician, will make a recommendation for ultrasound imaging or an alternative follow-up.
.png)
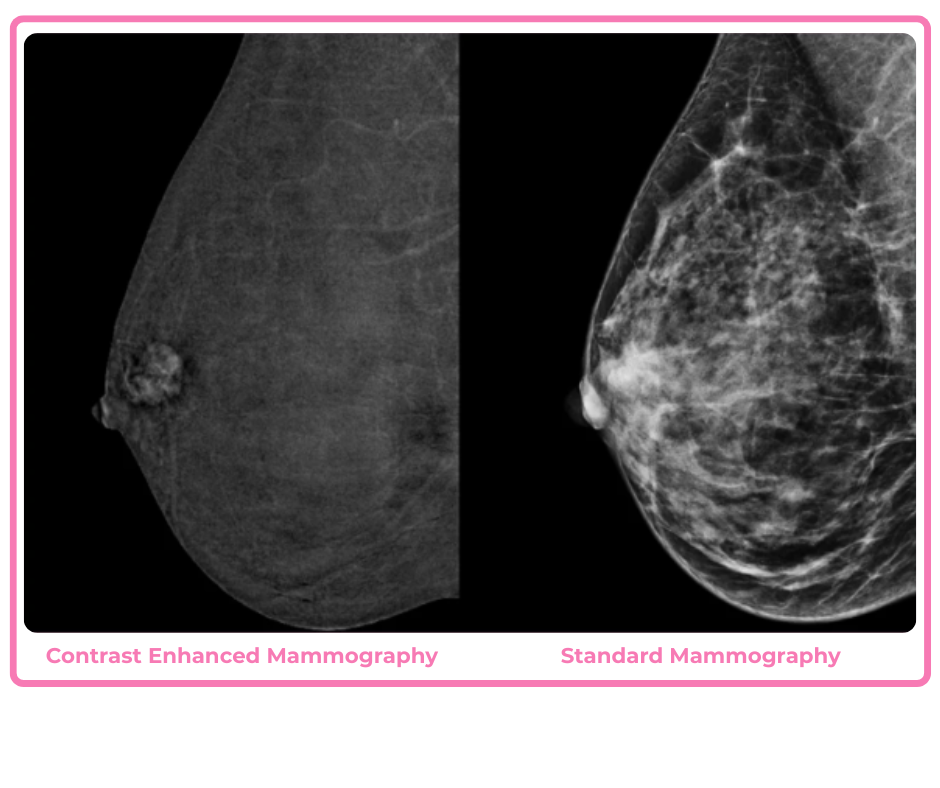
Contrast Enhanced Mammography
Contrast Enhanced Mammography (CEM) is a state-of-the-art breast imaging technique, in which an intravenous contrast agent is injected immediately prior to a ‘dual-energy’ mammogram (two images) being performed. One image is ‘subtracted’ from the other to create an image of the blood distribution in the breast tissues. CEM can improve cancer detection and diagnostic confidence. It is used for a range of problems – for screening patients at increased risk of breast cancer, particularly those with dense breast tissue, for evaluating patients with findings that are difficult to resolve, and for further assessing patients with a diagnosis of breast cancer.
Precautions are taken to identify contrast agent contraindications, as CEM is not suitable for patients who have a known contrast allergy, are pregnant, or have kidney disease. CEM is suitable for patients with breast implants.
More information on Contrast Enhanced Mammography vs Breast MRI here.
Breast Ultrasound
Breast ultrasound is done by our skilled breast sonographers. Ultrasound is a very sensitive test that adds valuable information, particularly if the breast tissue is dense or the patient is symptomatic. Ultrasound is generally performed after a mammogram; however, it might be the first test for younger, pregnant or breastfeeding women.
Breast ultrasound uses a handheld probe and warm gel placed on the skin. High frequency sound waves travel from the probe through the gel and into the breast tissue, and the probe collects the sounds that bounce back. A computer uses these sound waves to produce a highly detailed image. Ultrasounds do not use any radiation. Images are captured in real time, showing tissue structure and blood flow.
Our Clinicians
Meet Our Dedicated Health Clinicians
MBBS, FRACGP (Breast Physician)
MBBS(UNSW), Dip RANZCOG, FRACGP, FASBP (Breast Physician)
BSC (MED), MBBS (HONS). GRAD CERT GP. FRACGP. IBCLC. FASBP.



